- トップ >
- ファブリー病 >
- はじめに|ファブリー病情報室 >
- ファブリー病とは|ファブリー病情報室 >
- ファブリー病の症状
ファブリー病の症状
ファブリー病では、糖脂質(主にGL-3)の蓄積に伴い、全身の細胞機能が障害されて様々な症状が出現します。どの患者さんにもすべての症状が必ず出るとは限りません。また症状の出方や時期についても個人差があります。
ファブリー病における主な症状
衞藤義勝 責任編集︓ファブリー病UpDate, p.62-65,75, 92-94, 診断と治療社、2013
神経系の症状
疼痛
・男性の古典型症例(ヘミ接合体)では84~100%、女性(ヘテロ接合体)では32~90%に認められます1)。
・疼痛は、古典型ファブリー病のなかで最も早期に出現する症状であり、ファブリー病の早期診断に重要である。ファブリー病の疼痛は四肢末端に生じる持続的な慢性疼痛と温熱、寒冷、運動、ストレスで誘発される急性疼痛があります1)。
・小径有髄線維のAδ線維と無髄線維であるC線維が優位に障害される小径線維ニューロパチーの障害が示唆されています1)。
ファブリー病患者の耐熱テスト2)
・条件:お湯に手をつけて行う。気温25℃で実施した。
・バケツに各温度のお湯を入れ、そのバケツに手を浸してもらう(患者の母親が施行)。
・その状態で、何も感じない(心地よい)、少し痛い、痛くてたまらない、温度を示してある2)。
1)衞藤義勝、⼤橋⼗也 責任編集 ファブリー病UpDate改訂第2版 P.79-81, 診断と治療社、2021
2)衞藤義勝 責任編集 ファブリー病UpDate P.69診断と治療社 2013 一部改変
聴覚低下
耳の神経が障害をうけ、耳が聞こえにくい、耳鳴りがするなどの症状が現れます。
眼の症状
角膜混濁(かくまくこんだく)
・男性(ヘミ接合体)のほぼ100%、女性(ヘテロ接合体)の90%以上に、特徴的な灰白色状の渦巻き状角膜混濁を生じます3)。
・通常幼児期から生じており、ヘミ接合体では4歳までに、ヘテロ接合体では10歳までに生じていると報告されています3)。
・細隙灯顕微鏡(スリットランプ)検査で観察できます(特に強膜散乱法)3)。
結膜病変
・結膜血管がソーセージ様に拡張・蛇行している所見が60%に認められます3)。
3)衞藤義勝ら監修 ファブリー病診断治療ハンドブック2015 P.16 ~17
4)衞藤義勝 総監修 ファブリー病基礎から臨床までの最近の知見⑥
皮膚の症状
被角血管腫(ひかくけっかんしゅ)
・被⾓⾎管腫は、真⽪上層の⽑細⾎管の拡張で、ファブリー病の男性患者では70%以上に認められ、⼥性患者でも35%に認められます5)。
・下腹部、腰部、陰嚢部に後発するが、進⾏すると全⾝の広範囲に認められます5)。
・男児では平均9歳頃から39%に、⼥児でも平均13歳頃から23%ほどに認められ、⽐較的早くから出現します5)。
発汗低下
・発汗低下は学童期頃からみられます。ファブリー病の⼦どもの症状としては⾼頻度であり、重要です7)。
・エクリン汗腺の汗の分泌部にはライソゾーム内にGL-3の蓄積が著明にみられ、それによる細胞の変性が⽬⽴ちます。このために細胞の機能障害(発汗低下)が起こっていると考えられます7)。
5)衞藤義勝、⼤橋⼗也 責任編集 ファブリー病UpDate 改訂第2版 P.82-83 , 診断と治療社、2021
6)衞藤義勝 総監修 ファブリー病基礎から臨床までの最近の知⾒④、⑤
7)衞藤義勝ら監修 ファブリー病診断治療ハンドブック2015、P.15
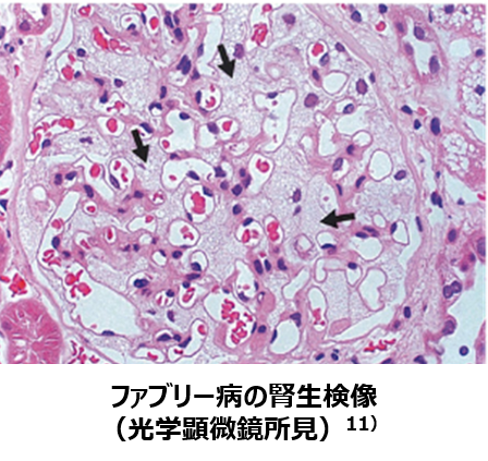
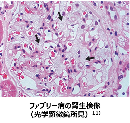
腎臓の症状
腎機能障害
・米国国立衛生研究所(National Institutes of Health:NIH)による男性患者105人の自然経過では、蛋白尿出現の平均年齢は34±10歳(14~55歳)であり、35歳で患者の50%に蛋白尿が出現し、52歳で生存患者の100%に蛋白尿がみられています8)。
・光学顕微鏡所見では、糸球体たこ足細胞の腫大と胞体空胞化が特徴的であるが、空砲は他の細胞にも認められます9) 。
・電子顕微鏡所見では、糸球体たこ足細胞、内皮細胞内などに、「ミエリン状」、あるいは「ゼブラ小体」と表現される沈着物を多数認めます9)。
・一般的な検査で認められる所見として、尿沈渣中のマルベリー小体が近年注目されています。マルベリー小体は、らせん状の脂肪球であり、ファブリー病に非常に特異的な所見となります10)。
8)衞藤義勝、大橋十也 責任編集 ファブリー病UpDate改訂第2版 P.95-100, 診断と治療社、2021
9)衞藤義勝ら監修 ファブリー病診断治療ハンドブック2015 P.10
10)衞藤義勝、大橋十也 責任編集 ファブリー病UpDate改訂第2版 P.118-123, 診断と治療社、2021
11)衞藤義勝 総監修 ファブリー病 基礎から臨床までの最近の知見⑦
12)衞藤義勝 総監修 ファブリー病 基礎から臨床までの最近の知見 P.128-132
13)川満紀子:Medical Technology 2018;46(10):1014-1017
心臓の症状
心機能障害
・ファブリー病の心病変の特徴である進行性の心肥大は、心エコーにより同定されることが多いです14)。
・男性(ヘミ接合体)では20代より認める症例はあるものの、通常は30代より認められ、一方女性(ヘテロ接合体)では、肥大が認められるのは40代以降です14)。
・68歳以上のヘテロ接合体では、心肥大の発現率は、100%という報告があります15)。
14)衞藤義勝、⼤橋⼗也 責任編集 ファブリー病UpDate改訂第2版P.91-94 ,P.124-128 診断と治療社、2021
15)Kobayashi M.et al.J Inherit Metab Dis.2008
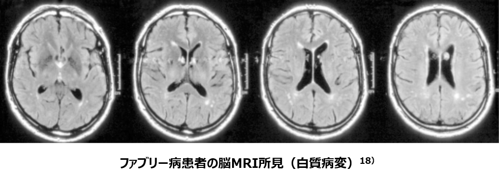
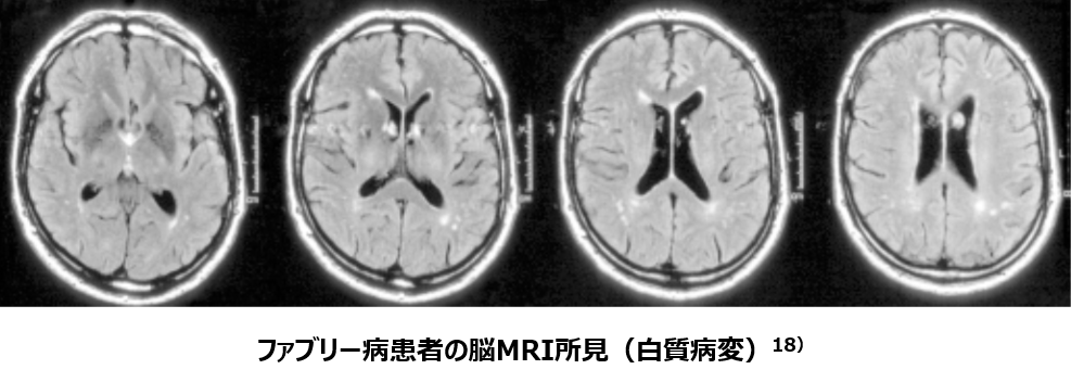
脳の症状
脳血管障害
・ファブリー病患者の16%ほどが何らかの脳⾎管障害を合併することが知られています16)。
・Fabry Registry(ファブリー病の国際市販後調査)では、男性患者の6.9%に、⼥性患者の4.3%に観察されています16) 。
・脳⾎管障害は、GL-3が⾎管内⽪細胞のライソゾームに集積し、細胞が膨化することにより⼩細動脈に狭窄が⽣じることで起こります17) 。
・優位に拡張した椎⾻・脳底動脈はファブリー病で特徴的であることが報告されました17)。
16)衞藤義勝、⼤橋⼗也 責任編集 ファブリー病UpDate改訂第2版 P.101-103, 診断と治療社、2021
17)衞藤義勝、⼤橋⼗也 責任編集 ファブリー病UpDate改訂第2版 P.129-134, 診断と治療社、2021
18)Ginsberg_Pract Neurol 2005,5,110-113
19)DF.Moore.et al.Journal of the Neurological Science 257(2007)258-263
精神の症状
精神障害
精神症状のなかで最も頻度の高いのは、うつ症状で、その頻度は46%に上るという報告があります20)。
20)衞藤義勝、⼤橋⼗也 責任編集 ファブリー病UpDate改訂第2版 P.101-103, 診断と治療社、2021










