医療関係者で会員登録されていない方
医療関係者で会員登録されている方
ログイン
医療関係者で会員登録をご希望の方
新規会員登録

監修・写真資料:澁谷和俊(東邦大学医学部 病院病理学講座 教授)

クリプトコッカス症の感染源としてはハト等の糞が有名でが、土壌中を始め自然界に広く分布しています。これらの菌を吸入することにより、肺に病巣を作ります。 下の写真は肺クリプトコッカス症の肉眼所見です。白く見えている部分は感染部位に形成された肉芽腫で、多くの場合このような肉芽腫をつくることで自然治癒します。

img_crypt_01
肉芽腫のHE染色標本を見ると、クリプトコッカスの周囲に透明な部分がありますが、これは莢膜(きょうまく)です。莢膜はクリプトコッカスの特徴のひとつですが、菌株によりその厚さは様々です。肉芽腫の中で、マクロファージに由来する巨細胞がクリプトコッカスを取り囲んでいる様子が見られます。
img_crypt_02
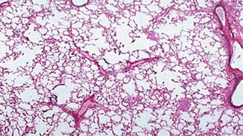
クリプトコッカス症が問題となるのはAIDS患者に代表される細胞性免疫が低下している場合です。 下の写真は免疫能が低下している肺クリプトコッカス症患者のHE染色組織標本ですが、炎症細胞の浸潤や肉芽腫の形成は見当たらず一見すると正常の肺組織と変わりありません。
img_crypt_03
ところが拡大すると、肺胞隔壁の血管の中にクリプトコッカスが観察されます。下の写真はPAS染色標本ですが、クリプトコッカスがまるで血球のように血管の中を流れている様子が見られます。ひとたび中枢神経へと感染が拡がり、クリプトコッカス髄膜炎などを発症すると致命的になります。
img_crypt_04
下の写真は、マクロファージに貪食されたクリプトコッカスの透過電子顕微鏡像です。免疫不全状態では、このようにマクロファージの中で消化されることなくクリプトコッカスは生き続け、感染が持続します。クリプトコッカスは日和見感染した場合、極めて重篤な感染症になります。また菌株ごとに病原性が異なることが知られています。
img_crypt_05